毎日たっぷり猫まみれ4が画像登録限度を超えたためこちらに引っ越しました。
×
[PR]上記の広告は3ヶ月以上新規記事投稿のないブログに表示されています。新しい記事を書く事で広告が消えます。
毎日自宅で決まった時間にステロイド注射をしています。
加えて1回目の抗がん剤投与をして1週間。
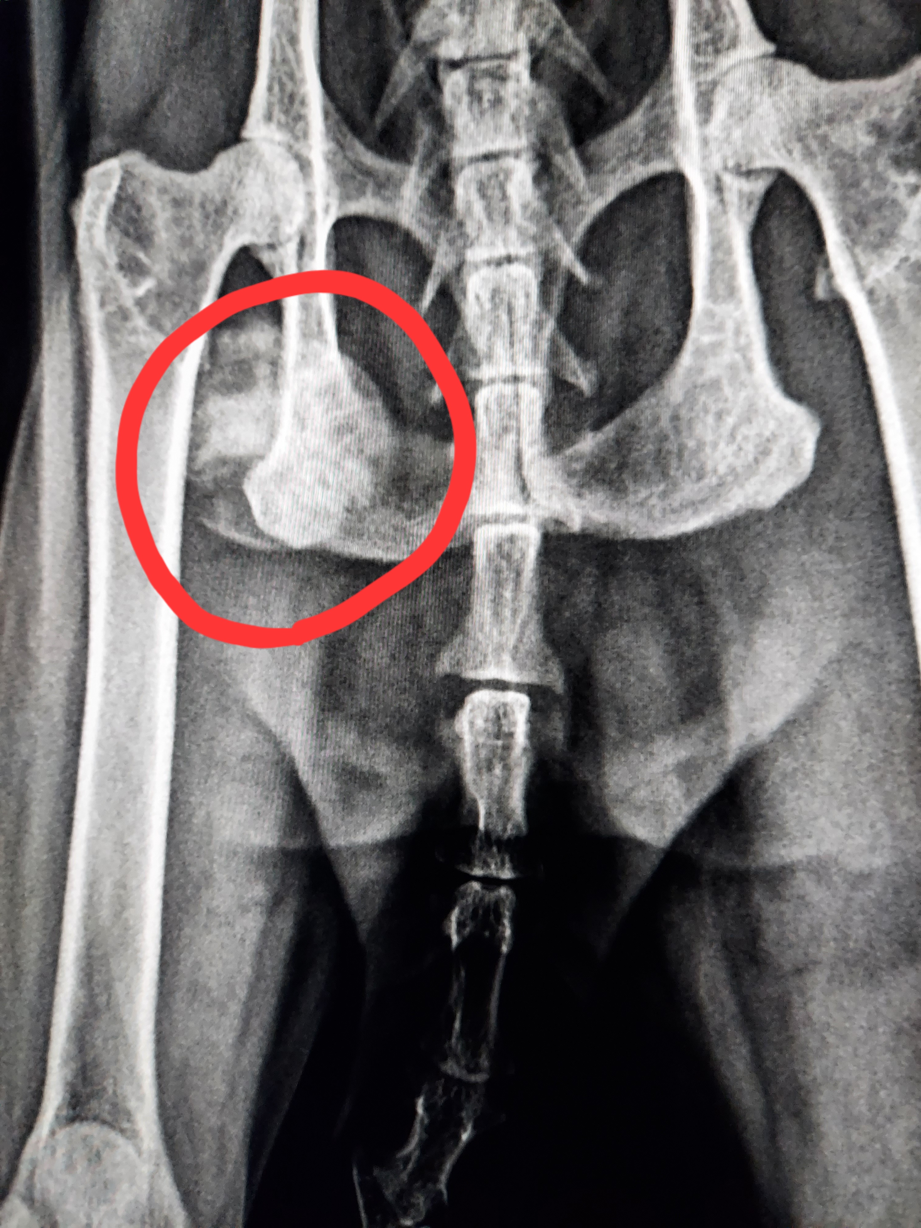
肺のモヤモヤしたものは見あたらなくなったようですが、右の骨盤に腫瘍と思われるものがありました。
おそらくこれが元のガンで、あちこち転移しているようです。
相変わらず食欲はなく何種類ものカリカリやパウチを並べて、利き酒ならぬきき猫まんま状態です。
たまに何粒か食べてくれて、感極まる そんな毎日です。
平常心で朝を向かえ粛々と生きているその姿は神々しいのですが、もう少し生きようと前向きになってよと涙してしまいます。
兄弟のロアくんはただならぬ雰囲気を察しているような?いないような?
残された日々が後どのくらいかはクロちゃん次第。
辛いのはクロちゃんだというのにこちらも辛い毎日です。
ランキングに参加しています。下のにゃんずの写真をクリックお願い致しますm(_ _)m
にほんブログ村
加えて1回目の抗がん剤投与をして1週間。
肺のモヤモヤしたものは見あたらなくなったようですが、右の骨盤に腫瘍と思われるものがありました。
おそらくこれが元のガンで、あちこち転移しているようです。
相変わらず食欲はなく何種類ものカリカリやパウチを並べて、利き酒ならぬきき猫まんま状態です。
たまに何粒か食べてくれて、感極まる そんな毎日です。
平常心で朝を向かえ粛々と生きているその姿は神々しいのですが、もう少し生きようと前向きになってよと涙してしまいます。
兄弟のロアくんはただならぬ雰囲気を察しているような?いないような?
残された日々が後どのくらいかはクロちゃん次第。
辛いのはクロちゃんだというのにこちらも辛い毎日です。
ランキングに参加しています。下のにゃんずの写真をクリックお願い致しますm(_ _)m
にほんブログ村
PR
この記事にコメントする
プロフィール
HN:
にゃおこ
性別:
非公開
カテゴリー
最新記事
リンク
ランキングに参加しています。
クリックお願いいたします。
https://blogmura.com/profiles/11157628/?p_cid=11157628
P R
ご支援お願いいたします
みんにゃの家の保護猫たちのお気に入りのものばかりです。
アマゾン欲しいものリストになります。
下記のURLを右クリックして飛んでください。
https://www.amazon.jp/hz/wishlist/ls/2CKWIK4Q7RKGO?ref=cm_sw_em_r_un_un_hW1JgvPDeQlCJ